Working Time
- Mon-Sat 10:00 AM - 06:00PM
Contact Info
-
Phone: +91 - 9111021252,
0761-4925929 - dakshnetralaya@gmail.com
Ask the Experts
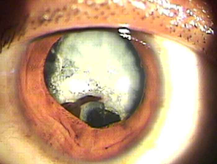
Cataract

Cataract is the opacification of the natural crystalline lens of the eye. Usually it is an age related process but in certain patients it can occur secondary to other problems such as:

Trauma

Uveitis

Steroid usage

Congenital/Developmental
Cataract cannot be reversed or cured by medical therapy, drops or Ayurveda. The only treatment for cataract is surgery. A common misconception is to wait for the cataract to become mature/white before surgery. This only makes the patient more helpless and the surgery more challenging. Gone are the days when cataract surgery involved a big incision and multiple stitches without the use of an intraocular lens. Another common notion is to get operated in winter or when the weather is cool: There is no right or wrong time to get operated, if you are having symptoms it is the right time to get operated. Even in peak summer, cataract surgery is extremely safe.
At Daksh Netralaya, we offer our patients high quality cataract surgery with a range of intraocular lenses as per patient’s preference.
Cataract surgery at our centre is performed through the advanced Alcon Laureate World Phaco System. The cataract is removed through a 2.2mm microincision with the Laureate’s Infiniti handpiece and hence the surgery is stitchless. Our doctors are highly trained and confident in handling even the most complex cases. The surgery can even be performed without giving any anesthetic injection and the patient leaves the hospital without the need of an eye patch. So in short, the surgery can be stitchless, injection-less and patch-less.
To cater to patients of wide socio-economic strata, we offer a range of foldable intraocular lenses which include:
- Indian Hydrophilic Lens
- Indian Hydrophobic Lens
- Alcon Acrysof Premium Lens
- Alcon Acrysof IQ Premium Lens
- Alcon Acrysof Toric Lens
- Alcon Restor/Panoptix Multifocal Lens
For needy patients we also perform small incision cataract surgery with rigid PMMA lens implantation.
To know more about our surgery packages, book an appointment with us today!